Menu
Menu

Protruding Teeth Treatment

Protruding Teeth Treatment in islamabad Pakistan

Where Confidence Aligns With Precision.

Protruding teeth can affect your smile, bite, and overall facial harmony. You deserve a perfectly aligned smile that enhances your appearance and boosts confidence. At Glamorous Aesthetic Clinic Islamabad, our Protruding Teeth Treatment, orthodontic correction, and teeth alignment services combine advanced orthodontic techniques with aesthetic precision to move your teeth into their ideal position. Each adjustment improves bite function, creates straighter teeth, and supports a healthier, balanced smile.

With experienced orthodontists in Islamabad, customized treatment plans, and gentle, non-invasive techniques, your smile transformation is smooth, predictable, and long-lasting. Step into a new level of confidence—your perfectly aligned smile starts here.

What is Protruding Teeth Islamabad?

Protruding Teeth Treatment Islamabad is a specialized dental procedure designed to fix teeth that stick out and disrupt the balance of your smile. It involves using modern orthodontic solutions such as braces, clear aligners (Invisalign), or small adjustments depending on your unique needs. The main goal is to give you a straight, even smile, correct your bite alignment, and enhance facial harmony—ensuring your teeth not only look good but function properly as well.

Quick Facts:

Results of Protruding Teeth in Islamabad:

You’ll see noticeable changes in your smile in the early weeks of treatment. Braces or aligners move your teeth slowly but effectively into alignment. Continued use of orthodontic devices ensures your teeth remain straight, your bite is corrected, and your smile looks completely natural. Over time, your teeth and jaw will settle into their correct positions, giving you a straight and confident smile.

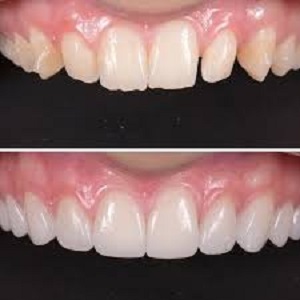
Protruding Teeth Treatment befoe & After clinic in islamabad
Protruding Teeth Treatment in islamabad

How Does It Work?

During your session, your dentist carefully examines your teeth, bite, and jaw to design a personalized treatment plan. Next, digital scans are taken to capture the precise shape of your teeth. Based on this, your dentist applies braces, Invisalign, or other orthodontic devices and adjusts them for comfort and effectiveness. 

0 %

Patient Satisfaction

0 +

Years Of Experience

0 +

State Art Facilitie

Aim of the Treatment:

  • Straighten front teeth.
  • Correct bite issues for proper chewing and jaw function.
  • Improve the natural symmetry of your face.
  • Prevent dental complications such as decay or gum disease.
  • Boost your confidence by achieving a straight smile.
  • Promote comfortable chewing.
  • Reduce the risk of teeth injury.

Progress Timeline & Downtime:

Timeframe 

What to Expect?

Day 1–3

Mild soreness, gum sensitivity, and slight pressure on teeth.

Week 1 

Teeth start to adjust; pressure eases.

Month 1 

Alignment becomes noticeable; the bite starts to normalize.

3–6 Months 

Major alignment; jaw and bite feel more natural. 

6–12 Months

Final results achieved—straight teeth, corrected bite.

Ideal Candidates:

  • Individuals with protruding front teeth.
  • Those with an overbite or bite misalignment. 
  • Clients wanting long-lasting dental correction.
  • Anyone desiring a confident and straight smile.

Not Suitable for:

⚠ Untreated gum disease
⚠ Severe jaw or bone abnormalities requiring surgery
⚠ Patients unwilling to follow the orthodontist’s instructions

Choose Glamorous for Best Protruding Teeth Islamabad:

At Glamorous Aesthetic Clinic, we combine expert orthodontists, modern technology, and personalized care to deliver safe, effective, and long-lasting protruding teeth correction. Every treatment is designed according to your teeth and jaw structure, guaranteeing a straight and natural smile. Our clinic provides a premium setting prioritizing your comfort and safety. 

Your Signature Consultation:

Your journey starts with a complete check-up of your teeth, jaw, and bite to understand your dental needs. Digital scans or impressions are taken for precise planning, and you receive personalized guidance on how to use your appliances and what to expect during follow-up visits, ensuring your smile stays perfectly aligned.

Pre-Treatment Guidelines:

  • Clean your teeth and gums thoroughly. 
  • Avoid hard or sticky foods.
  • Bring all your previous dental records.
  • Drink plenty of water.

Procedure: Step-By-Step:

  • Step 1: Evaluation & Planning:

Your dentist checks teeth alignment and jaw structure to create a personalized plan.

  • Step 2: Impression or Scan:

Measurements of teeth and gums are captured with digital scans or molds.

  • Step 3: Treatment Application:

Laser gum contouring is performed to remove excess tissue. Botox is applied if needed to control upper lip movement.

  • Step 4: Adjustments & Monitoring:

Healing and results are monitored in follow-ups to ensure a balanced and natural appearance.

  • Step 5: Post-Treatment Care:

Instructions for hygiene, diet, and follow-ups are provided to maintain the new smile.

Aftercare for Safety & Hygiene:

  • Brush and floss with consistency.
  • Avoid biting into hard or sticky foods.
  • Keep brackets, wires, or aligners clean and clear of buildup.
  • Use retainers exactly as instructed.
  • Attend every planned follow-up appointment.

How Does It Improve Your Smile and Bite?

  • Brings protruding front teeth back into alignment.
  • Strengthens bite function and balances jaw movement.
  • Improves long-term oral health and daily dental comfort.
  • Prevents dental complications linked to misaligned bite patterns.
  • Boosts overall facial balance and enhances your natural expression.

More About the Protruding Teeth Treatment in Islamabad:

Sessions:

Every session for correcting protruding teeth at Glamorous Aesthetic Clinic lasts around 60–120 minutes, depending on your alignment needs and the orthodontic method chosen. Each session supports controlled movement, improved bite balance, and steady correction. Over the coming weeks, you begin noticing visible improvement, while full alignment usually completes within 6–12 months. Every visit brings your smile closer to a more balanced, natural shape.

Side Effects:

  • Mild soreness or light sensitivity when teeth begin to shift
  • Temporary gum tenderness that fades quickly
  • Gentle pressure after each adjustment or new aligner set

Can Protruding Teeth Be Fully Corrected?

Yes! Most cases of protruding teeth respond exceptionally well to orthodontic treatment. Whether the protrusion is mild or more noticeable, your orthodontist creates a customized correction plan using braces or aligners to bring your teeth back into proper alignment.

Do I Know if This Treatment Is Right for Me?

During your consultation, your orthodontist evaluates your bite, tooth position, and facial symmetry. Based on your goals and dental needs, a personalized plan is designed to achieve safe, stable, and long-lasting correction.

Will the Treatment Affect My Daily Routine?

No! You return to work or your usual routine right after each session. You may experience slight pressure or sensitivity for a short time, but your routine stays the same.

Cost Of Breast Filler Injections

Wondering what your total cost looks like for fixing protruding teeth? The starting cost for Protruding Teeth Treatment in Islamabad Pakistan at Glamorous Aesthetic Clinic begins at PKR 15,000+, depending on your treatment plan and how severe the protrusion is. Every correction method is tailored to your dental structure so your teeth shift safely, your bite improves, and your smile grows more refined and confident over time.

Treatment Type

Average Cost (PKR)

Expected Results

Minor Orthodontic Adjustment

PKR 15,000–40,000

Quick correction of a slight protrusion

Invisalign

PKR 60,000–120,000

Transparent aligners, comfortable and discreet

Orthodontic Correction (Braces)

PKR 30,000–80,000

Gradual teeth alignment, bite correction

Factors Affecting the Cost: 

  • Severity of Protrusion: A larger forward tilt requires more sessions and advanced adjustments.
  • Treatment Preference: Traditional braces, clear aligners, or customized orthodontic plans influence the overall cost.
  • Materials & Technology: High-quality brackets, wires, aligner trays, and digital scans ensure precision and comfort.
  • Follow-Up Visits: Regular adjustment appointments ensure teeth move safely and efficiently.
  • Orthodontist Expertise & Clinic Reputation: Experienced orthodontists ensure accurate correction, stable bite alignment, and long-term results.

Claim Your Spot & Reveal Your Best Smile Today!

Secure Your Consultation and begin your transformation toward properly aligned, balanced teeth to boost your comfort and confidence. At Glamorous Aesthetic Clinic, every step is crafted with precision, care, and your long-term dental health in mind. Your smile enhancement begins the moment you book—this is where your correction, confidence, and new alignment take shape.

Frequently asked questions

We offer a wide range of dermatology treatments, including acne care, psoriasis management, skin cancer screening, cosmetic procedures like Botox etc.

We offer a wide range of dermatology treatments, including acne care, psoriasis management, skin cancer screening, cosmetic procedures like Botox etc.

We offer a wide range of dermatology treatments, including acne care, psoriasis management, skin cancer screening, cosmetic procedures like Botox etc.

We offer a wide range of dermatology treatments, including acne care, psoriasis management, skin cancer screening, cosmetic procedures like Botox etc.

We offer a wide range of dermatology treatments, including acne care, psoriasis management, skin cancer screening, cosmetic procedures like Botox etc.

Book Your Appoinment

100% Privacy Guaranteed