A Fresh Start for Damaged Teeth!
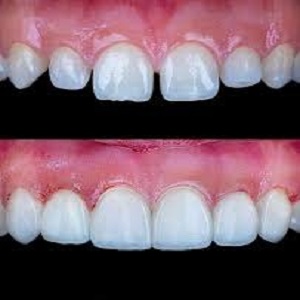
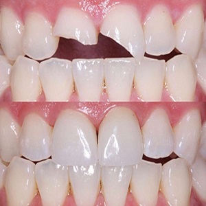
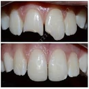
A chipped or broken tooth can be uncomfortable and distracting, especially when you feel it every time you speak or eat. At Glamorous Aesthetic Clinic Islamabad, you step into a calm, luxurious setting where your damaged tooth receives the attention it needs. Our Fracture Teeth Treatment in Islamabad uses advanced cosmetic and restorative dentistry to rebuild the tooth’s structure, restore its natural shape, and bring your smile back to a healthy, balanced look. Each broken tooth repair session is carried out with precision, modern dental technology, and a gentle approach so your tooth feels stable and looks seamless. Restore your confidence with expert tooth restoration in Islamabad—book your repair session today while appointments are available.
Table of Contents
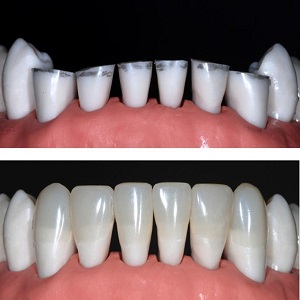
ToggleFracture Teeth Treatment in Islamabad is a specialized dental procedure aimed at repairing broken, chipped, or cracked teeth. This treatment restores your tooth’s structure and strength as well as appearance, helping you chew, speak, and smile comfortably again. Our expert dentists use high-quality dental bonding, veneers, and crowns to restore your teeth while keeping the natural color, shape, and strength intact. Every repair is personalized to fit your bite, tooth alignment, and overall smile goals, giving long-lasting and natural results.
Right after the treatment, you’ll notice immediate visual improvement, with the repaired tooth blending perfectly with your natural teeth. Some mild sensitivity or tenderness may occur, but it usually fades within a few days. Within 2–4 weeks, the tooth becomes fully strong and stable, supporting everyday chewing without worry. With regular dental care, this treatment ensures a long-lasting smile that looks and feels completely natural.
The treatment begins with a full assessment of the fractured tooth, surrounding teeth, and jaw alignment. X-rays or 3D scans may be taken to evaluate the severity of the fracture. Depending on the type of fracture, the dentist may smooth rough edges, bond the broken piece with dental composite, or place a crown to restore structure and strength. After treatment, your dentist checks your bite, jaw comfort, and overall dental function, making sure the repaired tooth looks natural and feels stable.
Timeframe | What to expect? |
Day 1 | The tooth is restored; slight soreness is normal. |
Days 2–3 | Sensitivity reduces; the bite begins to feel normal. |
Week 1 | The tooth looks natural. |
Week 2 | The tooth is fully functional for normal eating. |
Weeks 3–4 | The tooth is fully healed, and its natural appearance is restored. |
Not suitable for:
⚠ Severe untreated tooth infections
⚠ Extensive decay requiring root canal first
⚠ Poor oral hygiene or non-compliance with follow-up
At Glamorous Aesthetic Clinic Islamabad, our expert dental team combines precise treatment techniques, advanced materials, and personalized care to restore fractured teeth naturally. The clinic provides a premium setting where your comfort and safety are always our top priorities.
Your tooth repair journey begins by examining the fractured tooth, surrounding teeth, and jaw alignment. Your consultation for Teeth Fracture Treatment at Glamorous Aesthetic Clinic Islamabad isn’t just a routine dental visit; it’s a fully personalized session focused entirely on restoring your tooth’s strength, function, and appearance.
During the consultation, your dentist assesses the type and severity of the fracture using X-rays or 3D scans. A customized treatment plan is created, whether it’s smoothing rough edges, bonding broken pieces, or placing a crown. You’ll also receive clear guidance on recovery, bite alignment, and care, ensuring your repaired tooth looks natural, feels comfortable, and lasts for years.
Step 1: Evaluation & Planning:
Your dentist examines the fractured tooth, checks surrounding teeth, and evaluates your bite. They carefully select the best option to restore both strength and a natural look.
Step 2: Tooth Preparation:
Your dentist gently cleans the tooth and shapes it to make sure the bonding material or crown fits perfectly.
Step 3: Restoration Placement:
Your dentist applies the chosen material—bonding, veneer, or crown—and sculpts it to match your natural tooth’s shape and contours.
Step 4: Bite Adjustment & Polishing:
Your dentist checks your bite, makes adjustments for symmetry, and polishes the tooth to give a smooth and natural finish.
Step 5: Post-Treatment Care:
Your dentist gives guidance on maintaining oral hygiene, managing temporary sensitivity, and scheduling follow-up visits to keep your teeth healthy.
Most patients walk out satisfied after 1 session, especially when the fracture is small to moderate. Deep or complicated fractures may need more than one visit. Each session focuses on repairing the structure, sealing the fracture, and rebuilding the tooth so it feels natural again.
Yes! Your tooth looks and feels fixed right away. Full strength returns over the next 2 to 4 weeks, but you enjoy comfort immediately.
Absolutely! Repairing a fractured tooth stops cracks from deepening, keeps bacteria out, and saves you from future infections or extractions.
Glamorous Aesthetic Clinic blends precision cosmetic dentistry with advanced tools and a comfortable, personalized approach. Your treatment feels safe, fast, and luxurious from start to finish.
Cost Of Teeth Fracture Treatment in Islamabad
Looking for clear, trustworthy pricing? At Glamorous Aesthetic Clinic Islamabad, our Teeth Fracture Treatment ranges from PKR 15,000 to PKR 60,000, with final pricing determined by the fracture’s depth and the required repair method. Every treatment focuses on restoring the tooth’s structure, protecting the root, and giving you a natural, durable finish.
Treatment Type | Average Cost (PKR) | Expected Results |
Single Tooth Repair | PKR 15,000–25,000 | Restores natural appearance and function |
Multiple Tooth Repair | PKR 30,000–45,000 | Comprehensive smile restoration |
Veneers or Crowns | PKR 50,000–60,000 | Long-lasting, aesthetic enhancement |
End the stress of a chipped or cracked tooth and walk out with a restored, confident smile. Glamorous Aesthetic Clinic Islamabad delivers fast, safe, and artistic restorative work so your tooth feels brand-new again. Book your Fracture Teeth Treatment in Islamabad today and enjoy a pain-free, fully restored smile—no delays, no complications, just clean results.
Meet Dr. Fabiha Abid—a dedicated physiotherapist and skilled aesthetic practitioner at…
View Profile
Introducing Dr. Annas Sani—an expert physician and skilled aesthetician at Glamorous…
View Profile
Meet Dr. Nadia Tariq – our certified plastic and reconstructive surgeon at Glamorous Aesthetic…
View Profile
We are excited to announce that Dr. Ahmed Ali is now a part of the Glamorous Aesthetic Clinic…
View Profile
Dedicated and clinically proficient Dental Surgeon with comprehensive experience in restorative dentistry…
View ProfileWe offer a wide range of dermatology treatments, including acne care, psoriasis management, skin cancer screening, cosmetic procedures like Botox etc.
We offer a wide range of dermatology treatments, including acne care, psoriasis management, skin cancer screening, cosmetic procedures like Botox etc.
We offer a wide range of dermatology treatments, including acne care, psoriasis management, skin cancer screening, cosmetic procedures like Botox etc.
We offer a wide range of dermatology treatments, including acne care, psoriasis management, skin cancer screening, cosmetic procedures like Botox etc.
We offer a wide range of dermatology treatments, including acne care, psoriasis management, skin cancer screening, cosmetic procedures like Botox etc.

Glow Up Your Smile With Islamabad’s Luxe Nano Teeth Whitening! When your......
Read Blog
Introduction: Who doesn’t want brighter and shinier teeth without putting in e...
Read Blog