Menu
Menu

Dental Retainers

Dental Retainers in Islamabad

Protect & Preserve Your Perfect Alignment Effortlessly!

After completing braces or Invisalign treatment, your smile deserves lasting perfection. At Glamorous Aesthetic Clinic, our custom Dental Retainers in Islamabad Pakistan provide a precise fit, ultimate comfort, and long-term stability to prevent teeth from shifting, protect your bite, and maintain flawless alignment. Each retainer matches your unique dental structure, ensuring comfort while preserving the aesthetic and functional results of your Orthodontic Treatment.

What is Dental Retainers?

Dental retainers are custom-made devices that keep your teeth in the right position after braces or Invisalign. They prevent your teeth from shifting back, protect your smile, and support long-term oral health. Retainers come in removable or fixed types, tailored to fit comfortably in your mouth. Each treatment plan is personalized based on your teeth alignment, orthodontic history, and daily habits, ensuring your smile stays aligned and confident.

Quick Facts:

Results of Dental Retainers Islamabad:

Once your dental retainer is fitted, your teeth are stabilized immediately. By wearing it as instructed, you prevent your teeth from shifting back, keeping your smile straight and healthy. Over time, proper care and regular follow-ups maintain your teeth’s position permanently, giving you confidence and comfort in everyday life.

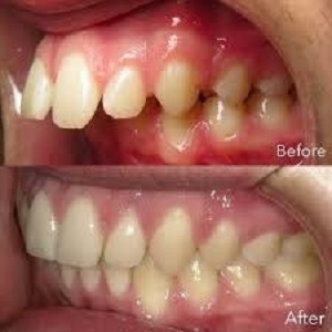
Dental Retainers before & After in Islamabad

How Does It Work?

During your session, your dentist first examines your teeth and bite carefully to ensure your retainer will fit perfectly. Then, impressions or digital scans are taken to make a custom retainer. Once it’s ready, the retainer is fitted and adjusted, and your dentist explains how to wear and clean it. Follow-up visits make sure your retainer continues to hold your teeth in the correct position, preventing any shifting or misalignment.

0 %

Patient Satisfaction

0 +

Years Of Experience

0 +

State Art Facilitie

Aim of the Treatment:

  • Keep your teeth perfectly aligned after braces or Invisalign.
  • Prevent teeth from shifting or tilting.
  • Support your bite and jaw health.
  • Promote long-term oral hygiene.
  • Keep your smile symmetrical and attractive.
  • Ensure smooth, comfortable chewing, speaking, and smiling.

Progress Timeline & Downtime:

Timeframe 

What to Expect?

Day 1–3

Mild gum sensitivity.

Week 1

The retainer fits comfortably with minimal irritation.

Month 1

The bite feels normal; a check-up ensures proper fit.

3–6 Months 

The retainer holds your teeth securely, preventing any shifting or movement.

Ideal Candidates:

  • Individuals who have recently completed braces or Invisalign.
  • Clients worried about relapse or shifting teeth.
  • People aiming to maintain bite and jaw health.
  • Those wanting a straight, confident smile long-term.

Not Suitable for:

⚠ Those with untreated gum disease.

⚠ Individuals with ongoing dental infections

⚠ Patients who are unwilling to wear a retainer regularly.

Choose Glamorous for Best Dental Retainers Islamabad:

At Glamorous Aesthetic Clinic, we design Retainers in Islamabad Pakistan that are personalized, comfortable, and precise. Our advanced technology ensures a perfect fit, long-lasting durability, and a stress-free experience. Our clinic provides luxurious, painless, and effective care so your teeth remain perfectly aligned for the long term.

Your Signature Consultation:

Your consultation starts with a detailed check of your bite, teeth, and orthodontic history. Our specialist reviews any past braces or Invisalign treatments and takes digital scans or impressions to create a perfectly fitting retainer. You’ll also receive personalized instructions on how to wear and care for your retainer, along with guidance on follow-up appointments to keep your smile perfectly aligned.

Pre-Treatment Guidelines:

  • Brush and floss thoroughly before your session.
  • Avoid sticky, hard, or chewy foods.
  • Drink plenty of water.
  • Bring your previous orthodontic records.

Procedure: Step-By-Step:

  • Step 1: Evaluation & Planning:

Your dentist examines your teeth, bite, and alignment history to plan your retainer.

  • Step 2: Impression or Scan:

Impressions or digital scans capture precise measurements for a perfect fit.

  • Step 3: Retainer Fabrication:

The retainer is made from durable, high-quality materials designed to last while keeping your teeth comfortable.

  • Step 4: Fitting & Adjustment:

Your dentist ensures the retainer sits correctly, making adjustments as needed.

  • Step 5: Instructions & Follow-Up:

Detailed instructions are provided on how to care for your retainer, including cleaning and safe storage tips.

Aftercare for Safety and Maintenance:

  • Clean the retainer daily with a soft brush.
  • Wear exactly as prescribed.
  • Avoid sticky or hard foods.
  • Always place the retainer in a protective case when not wearing it.
  • Attend all your scheduled follow-ups.

Dental Retainers: How They Protect and Improve Your Smile:

  • Keeps teeth straight and bite aligned.
  • Stops teeth from moving backward.
  • Enhances jaw function and bite health.
  • Prevents future dental complications.
  • Boosts your confidence with a perfect smile.
  • Supports long-term dental health.

Removable vs. Fixed Retainers: What’s Right For You?

Treatment Type

Removable Retainer

Fixed Retainer

Core Function

Maintains teeth alignment; can be removed for eating and cleaning

Provides continuous support; permanently bonded behind teeth

Comfort Level 

Comfortable, adjustable, minimal pressure

Slight initial pressure; may feel unusual at first

Maintenance 

Must be cleaned daily; removed during meals

Requires careful brushing and flossing around the wire

Convenience 

Can be removed for special occasions or cleaning

Always in place; no removal needed

Ideal Candidates

Patients who want flexibility and easy hygiene

Patients needing long-term, constant alignment support

Durability 

Can last years with proper care; may need replacement

Permanent, but may require checkups if the wire loosens

Results 

Immediate protection of alignment after braces or Invisalign

Continuous support ensures teeth stay in perfect position over time

Cost Range (PKR)

PKR 8,000–12,000

PKR 12,000–18,000

Find Out More About Dental Retainers Islamabad:

Sessions:

The placement session is quick, usually taking 30–60 minutes. After your initial fitting, routine check-ups ensure your retainer stays effective and comfortable. Each session helps you sustain the alignment you’ve worked hard to achieve.

Side Effects:

  • Mild gum irritation 
  • Slight pressure that fades as you adapt
  • Minimal adjustment discomfort

How Do I Clean my Dental Retainer?

Daily cleaning with a soft brush and mild solution keeps your retainer hygienic and effective, preventing odour and buildup.

Are there Different Types of Retainers?

Yes! Fixed retainers stay behind your teeth for continuous support, while removable retainers offer flexibility and easy cleaning.

Retainer Fix Minor Shifts After Braces?

Yes! If your teeth start to move slightly after braces or Invisalign, a properly fitted retainer can realign them without needing full orthodontic treatment. Regular wear keeps your smile stable and prevents future shifting.

Do I Need to Wear my Retainer Each Day?

Orthodontists usually recommend full-time wear for a few months, then gradually switch to nighttime only. Following the prescribed schedule ensures your teeth stay perfectly aligned for life.

Cost Of Dental Retainers in Islamabad:

Searching for the best dental retainers in Islamabad to keep your post-braces or Invisalign smile in place? At Glamorous Aesthetic Clinic, our custom dental retainers start from PKR 8,000+, tailored to your needs and chosen type—removable or fixed. Every retainer is precision-crafted to lock in your alignment instantly, safeguard your bite, and deliver long-lasting results. With years of excellence, our experienced orthodontists preserve your hard-earned smile with comfort, style, and lasting confidence.

Retainer TypeAverage Cost (PKR)Results 
Removable RetainerPKR 8,000–12,000Maintains teeth alignment, easy to clean
Fixed RetainerPKR 12,000–18,000Continuous support, discreet and effective

Factors Affecting the Cost

  • Type of Retainer: The choice between a removable or fixed retainer significantly impacts both comfort and cost, as well as how you maintain your teeth’s alignment.
  • Complexity of Treatment: The difficulty and extent of your previous orthodontic work determine how precisely the retainer must be designed to preserve your results.
  • Customization and Material Quality: High-quality, personalized retainers ensure long-lasting durability, optimal comfort, and effective teeth stabilization.
  • Follow-Up Appointments: Regular checkups and adjustments guarantee your retainer continues to fit perfectly and maintains your alignment over time.
  • Expert Orthodontists & Clinic Reputation: Skilled orthodontists at a trusted, luxury clinic ensure precision, safety, and reliable long-term results for your oral health.

Book Your Dental Retainer Today!

Don’t risk losing your hard-earned alignment. At Glamorous Aesthetic Clinic, we deliver expertly fitted, comfortable, and long-lasting Dental Retainers in Islamabad Pakistan to keep your teeth straight and your confidence high. Schedule your session today and enjoy a lifetime of perfectly aligned teeth. 

Frequently asked questions

We offer a wide range of dermatology treatments, including acne care, psoriasis management, skin cancer screening, cosmetic procedures like Botox etc.

We offer a wide range of dermatology treatments, including acne care, psoriasis management, skin cancer screening, cosmetic procedures like Botox etc.

We offer a wide range of dermatology treatments, including acne care, psoriasis management, skin cancer screening, cosmetic procedures like Botox etc.

We offer a wide range of dermatology treatments, including acne care, psoriasis management, skin cancer screening, cosmetic procedures like Botox etc.

We offer a wide range of dermatology treatments, including acne care, psoriasis management, skin cancer screening, cosmetic procedures like Botox etc.

Book Your Appoinment

100% Privacy Guaranteed