Menu
Menu

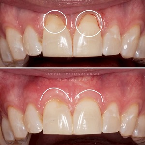
Gum Grafting in Islamabad

Gum Grafting in islamabad Pakistan

Restore. Protect. Smile.

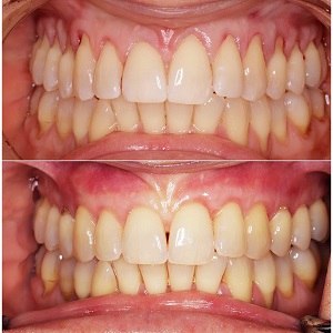
When your gums start to recede, your teeth can feel exposed, sensitive, and at risk. Every smile feels incomplete when your gums don’t properly frame your teeth. Gum Grafting restores gum coverage, protects your teeth from sensitivity and decay, and enhances the overall appearance of your smile. At Glamorous Aesthetic Clinic, our expert dentists perform precise Periodontal Gum Grafting in Islamabad Pakistan to repair and rebuild your gums, delivering natural, long-lasting results. Walk in seeking restoration—walk out with renewed confidence, comfort, and a healthier, more attractive smile. Take control of your gum health today!

What is Gum Grafting Islamabad?

Gum Grafting Islamabad is a dental procedure designed to repair receding gums and protect exposed tooth roots while improving the look of your smile. It reduces tooth sensitivity, prevents further gum or bone loss, and restores a healthy gum line. At Glamorous Clinic, our skilled dentists use advanced methods like connective tissue grafts, the pinhole surgical technique, and soft tissue regeneration to strengthen and realign your gums. Every treatment is fully personalized based on your gum health, bite alignment, and cosmetic goals, ensuring results that last and look completely natural.

Quick Facts:

How Does It Work?

The procedure begins with a detailed gum and dental assessment. Your dentist examines your teeth, gums, and bite, using X-rays or 3D scans to assess how severe the gum recession is and how well your bones support your teeth. Depending on your individual condition, the treatment may involve gum grafting, the Pinhole surgical technique, or soft tissue regeneration. Once the treatment is complete, your dentist makes sure your gums are stable, your bite feels comfortable, and the restored gum tissue protects your teeth while maintaining a natural and healthy appearance.

0 %

Patient Satisfaction

0 +

Years Of Experience

0 +

State Art Facilitie

Aim of the Treatment:

  • Protect exposed teeth and roots from damage and sensitivity.
  • Prevent gums from receding further.
  • Improve the overall appearance and symmetry of your gums.
  • Strengthen bite function and oral health.
  • Deliver long-lasting and natural results.

Progress Timeline & Downtime:

Timeframe 

What to expect?

Day 1

Mild swelling or tenderness is completely normal.

Days 2–3

Sensitivity reduces; soft foods are recommended.

Week 1

Gum tissue starts to stabilize.

Weeks 2–3

The gum line looks smoother and natural.

Weeks 4–6

Complete recovery—gums protect teeth and restore a healthy appearance.

Ideal Candidates:

  • Individuals with receding gums or exposed roots.
  • Those experiencing increased tooth sensitivity.
  • Anyone looking to prevent further gum or tooth damage.
  • People who desire a natural and lasting gum line.

Not Suitable For:

⚠ Untreated gum infections
⚠ Severe bone loss needing initial care
⚠ Poor oral hygiene or inconsistent follow-up

Choose Glamorous for Best Gum Grafting Islamabad:

At Glamorous Aesthetic Clinic, we provide expert periodontal care using the latest dental technology. Every Gum Grafting in Islamabad Pakistan is personalized to your gum condition, oral health, and goals. Our clinic offers a comfortable and luxurious environment where your care and comfort are our top priorities.

Your Signature Consultation:

Your journey begins with a complete gum evaluation. Your dentist examines the gum line, teeth, and bite, using X-rays or 3D scans to assess the severity of recession. A personalized treatment plan is then created, whether it involves gum grafting, pinhole technique, or soft tissue regeneration. You receive clear instructions for oral care, recovery, and follow-up.

Pre-Treatment Guidelines:

  • Drink plenty of water.
  • Brush and floss before your appointment.
  • Avoid sticky, hard, or chewy foods.
  • Share your full medical history with your dentist.

Gum Grafting Procedure: Step by Step:

  • Step 1: Evaluation & Planning:

Your dentist examines your gum tissue, teeth, and bite to design a personalized treatment plan.

  • Step 2: Gum Preparation:

The affected gum area is cleaned and prepared for grafting or repositioning, ensuring a smooth and effective treatment.

  • Step 3: Treatment Placement:

The selected method—gum graft, pinhole technique, or soft tissue regeneration—is performed to restore healthy and natural gums.

  • Step 4: Adjustment & Polishing:

Gum alignment and bite are checked; treated areas are smoothed for comfort and a natural look.

  • Step 5: Post-Treatment Care:

Aftercare instructions are provided; follow-up visits are scheduled to ensure a full recovery.

Aftercare Guidelines:

  • Avoid hard, crunchy, or sticky foods for the first few days.
  • Brush gently and maintain proper oral hygiene to support healing.
  • Rinse with warm salt water if recommended by your dentist.
  • Avoid smoking or excessive heat/cold exposure for 24–48 hours.
  • Attend follow-up visits as advised to ensure optimal healing.

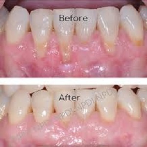
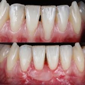
What Makes Gum Grafting a Top Choice?

  • Restores receding gum lines for healthier teeth and a complete smile.
  • Reduces tooth sensitivity by covering exposed roots.
  • Improves aesthetic appearance of your gums for a natural, even look.
  • Protects against gum disease, bone loss, and further recession.
  • Gives long-lasting results when combined with proper oral care.

Discover More About Gum Grafting Islamabad:

Sessions:

Most gum grafting procedures take 45–120 minutes, depending on the severity of gum recession and the type of graft used. Dentists carefully harvest tissue and graft it to the affected areas, ensuring a natural contour and proper coverage. Initial improvement is visible immediately, while full healing and gum integration occur over 3–6 weeks.

Side Effects:

  • Mild swelling around the graft site
  • Temporary tenderness or sensitivity
  • Slight discomfort during the first few days

These effects are normal and resolve as the gums heal.

Can Gum Grafts be Redone?

Yes! If gum recession recurs or additional coverage is needed, your dentist can perform follow-up grafting procedures. Proper maintenance ensures long-lasting results.

Is Gum Grafting a Painful Procedure?

No! Local anesthesia ensures comfort throughout the procedure. Most patients experience only mild soreness afterward, which subsides quickly.

How Long do Results Last?

With good oral hygiene and regular dental check-ups, gum grafts can last for many years, providing protection, comfort, and aesthetic improvement.

Cost Of Gum Grafting Islamabad:

Restore your gums and confidence with professional gum grafting at Glamorous Aesthetic Clinic. CostsGum Grafting Cost in Islamabad Starts from PKR 20,000 to PKR 80,000, depending on the type and extent of the graft and the complexity of your treatment plan.

Treatment TypeAverage Cost (PKR)Expected Results
Standard Gum GraftingPKR 20,000–40,000Covers minor recession and protects exposed roots
Advanced Gum GraftingPKR 40,000–60,000Restores moderate recession with natural gum contour
Full Gum RestorationPKR 60,000–80,000Corrects extensive recession, improves aesthetics and gum health

Factors Affecting the Cost:

  • Extent of Gum Recession: More severe recession requires more time and tissue, increasing cost.
  • Type of Graft: Different grafting techniques (connective tissue, free gingival, or pinhole) have varying complexity.
  • Oral Health Condition: Inflamed or sensitive gums may need additional preparation and care.
  • Dentist Expertise & Clinic Technology: Skilled specialists and modern equipment improve outcomes and precision.
  • Follow-Up & Maintenance: Regular check-ups ensure long-term success and may influence total treatment cost.

Reserve Your Gum Grafting Session Today!

You’re one step away from healthier gums and a more confident smile. Book your Gum Grafting in Islamabad Pakistan consultation at Glamorous Aesthetic Clinic. Our dentists will evaluate your gums, explain the best treatment approach, and create a customized plan tailored to your oral health and aesthetic goals. Restore your smile, protect your teeth, and regain confidence—all at once!

Frequently asked questions

We offer a wide range of dermatology treatments, including acne care, psoriasis management, skin cancer screening, cosmetic procedures like Botox etc.

We offer a wide range of dermatology treatments, including acne care, psoriasis management, skin cancer screening, cosmetic procedures like Botox etc.

We offer a wide range of dermatology treatments, including acne care, psoriasis management, skin cancer screening, cosmetic procedures like Botox etc.

We offer a wide range of dermatology treatments, including acne care, psoriasis management, skin cancer screening, cosmetic procedures like Botox etc.

We offer a wide range of dermatology treatments, including acne care, psoriasis management, skin cancer screening, cosmetic procedures like Botox etc.

Book Your Appoinment

100% Privacy Guaranteed