
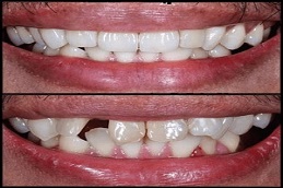
Are the prominent gaps making you shy to smile, speak or eat? At Glamorous Aesthetic Clinic Islamabad, our top Dental Implant in Islamabad Pakistan specialists provide expert care to replace missing teeth with precision and comfort. Using high quality titanium implants, we restore your chewing function and overall oral health. Whether you’ve lost a single tooth or several, our customized dental implant treatments ensure a natural appearance, permanent stability and a strong bite.
Quick Facts:
- Cost: From PKR 70,000+ each
- Treatment Type: Permanent tooth replacement with titanium dental implants
- Procedural Duration: 1 – 2 hours per implant
- Results: Restores chewing, appearance and tooth function instantly
- Ideal Candidates: Anyone with missing teeth, strong gums and a healthy jawbone
- Recovery Tips: Follow soft-diet days, keep excellent oral hygiene and attend follow ups
- Side Effects: Mild swelling, slight soreness, temporary sensitivity
- Benefits: Permanent stability, natural appearance, strong bite strength
- Treatment Longevity: 15+ years with proper care
- Back To Work: 24 – 48 hours
Dental Implants Islamabad:
Dental Implants in Islamabad are permanent, natural looking replacements for people who have lost a tooth or teeth. They are small titanium posts that are placed into your jawbone to act as a solid foundation for crowns, bridges, or dentures – so you can bite and chew like you used to. Every treatment at Glamorous Aesthetic Clinic Islamabad is completely customised dependant on the health of your jawbone, where teeth are missing and what you’re looking for.
How Does It Work?
Your dentist will first check your gums and jawbone and the area where the tooth is missing to ensure your implant will have somewhere solid to sit before the session. Then digital scans or x-rays of your mouth are taken, determining the precise details for the implant’s fitting area. Once the planning is completed, a titanium screw is inserted into your jawbone like a kind of natural root of the tooth. Your bone will grow into the implant over the next couple of months, creating a solid base. Finally, a customised crown is placed on top that blends seamlessly with your other teeth.
Results OF Dental Implant in Islamabad:
From the outsety our implant feels secure, giving you immediate stability while you chew. Over the next few weeks the bone sets around the implant, forming a solid foundation that doesn’t feel foreign. After about 3 – 6 months, the implant is fully set and with the crown in place it fits well with your teeth. With the proper care, it is easy to maintain a good clean bite, chewing skills and naturally looking smile for many years to come.

Aim of the Treatment:
- To provide a solid and permanent replacement for missing teeth
- Restoration of biting and chewing function
- Protection of the jawbone from deterioration
- Encouragement of facial symmetry
- Creation of a wholly natural look
- Restore confidence and enhance oral health
Progress Timeline & Downtime:
| Timeframe | What to expect? |
| Day 1 – 3 | Mild swelling and tenderness in the implant area |
| Week 1 | Healing begins; discomfort starts to decrease |
| Month 1 | Bone starts to bond with the implant |
| 3 – 6 Months | The implant fully integrates with the jawbone; the final crown can now be placed |
Ideal Candidates:
- Individuals with gaps in their teeth
- Those seeking a permanent alternative to dentures
- People with healthy gums and strong bone support
- Anyone wanting a natural looking and long term dental solution
Not Suitable For:
- Individuals with untreated gum disease
- People whose jawbone is too weak without a graft
- Heavy smokers who are unwilling to adjust their lifestyle
Why Choose Glamorous Aesthetic Clinic for the Best Dental Implants in Islamabad:
At Glamorous Aesthetic Clinic Islamabad, every Dental implant is placed with precision and accuracy ensuring your new tooth fits perfectly and functions naturally. We use only high quality, long lasting implant materials combined with the expertise of our skilled dentists. Our luxurious, comfortable environment ensures a stress free experience.
Your Signature Consultation:
Your journey begins with a one on one consultation. Our skilled implant dentist conducts a thorough examination of your oral health and the area of the missing tooth. Advanced imaging captures every detail, allowing for a precise implant plan designed for your jaw and bite. You’ll receive guidance regarding the healing process and crown fitting as well as the best implant options, giving you confidence and clarity every step of the way
Pre-Treatment Guidelines:
- Brush and floss thoroughly
- Avoid smoking and alcohol before your visit
- Bring records of previous dental work and any X-rays of the missing tooth
The Process: What To Expect:
Step 1: Oral Evaluation:
Your dentist will look at the condition of your jaw bone, gums and the missing tooth in order to develop a plan for your implant
Step 2: Digital Imaging and Mapping:
Next some detailed computer mapping is done in order to determine the best way to place the implant correctly and in alignment with your existing teeth
Step 3: Placement:
Your implant is placed into your bone as the foundation for your new tooth
Step 4: Healing Phase:
Your bone will gradually grow and fuse with the implant. This forms a strong base
Step 5: Crown:
Your new tooth (crown) is attached to the implant and done to match your existing teeth
Aftercare:
- Brush gently
- Use mouthwash to cut infection
- Eat only soft food while healing
- No smoking or alcohol for healing
- Attend all your follow up appointments
Benefits:
- Supports your long term oral health
- Rebuilding the root of a missing tooth provides a strong stable foundation
- Restores proper chewing and biting and gives a whole new speech
- Preserve facial features
- Boosts confidence by delivering a natural looking smile and healthier teeth
- Stays strong for years offering a permanent solution
Learn More About The Dental Implants in Islamabad:
Number of Sessions;
Each implant takes 1 – 2 hours depending on complexity. After placement follow ups ensure healing, stability and proper integration with the jawbone
Side Effects:
- Minor inflammation around the affected area
- Slight discomfort which lessens in a couple days
- Brief sensitivity while biting
Are dental implants painful?
The procedure is performed under local anesthesia. Some minor soreness or inflammation may occur afterward, but most individuals report minimal discomfort
Who is a good candidate for dental implants?
Anyone with missing teeth, has healthy gums and enough bone for the procedure can is an ideal candidate
What is the recovery time for implants?
Most individuals returning to work or routine in 24 – 48 hours. Bone integration occurs in several months returns to see healing over those few months help to keep everything on the right track
Cost of Dental Implants in Islamabad:
At Glamorous Aesthetic Clinic, dental implants start from PKR 70,000+ per tooth depending on the number of teeth and complexity. Every implant is carefully planned and precision-placed to restore your smile, bite and confidence with permanent results.
| Treatment Type | Average Cost (PKR) | Results |
| Single Dental Implant | PKR 70,000 – PKR 120,000 | Titanium implant and crown for one missing tooth |
| Multiple Dental Implants | PKR 150,000 – PKR 300,000+ | Several implants were placed to replace multiple teeth |
| Full Mouth Implants (All-on-4 / All-on-6) | PKR 450,000 – PKR 1,000,000+ | Complete upper/lower restoration with 4 – 6 implants |
| Implant-Supported Bridge | PKR 200,000 – PKR 350,000+ | Implants supporting a fixed bridge for multiple missing teeth |
| Implant-Supported Denture | PKR 180,000 – PKR 350,000+ | A denture that snaps onto implants for a firm grip |
| Bone Grafting (if needed) | PKR 20,000 – PKR 80,000 | Strengthens the jawbone for implant placement |
| Sinus Lift (if required) | PKR 40,000 – PKR 100,000 | Creates space in the upper jaw for implant stability |
Factors Affecting Cost:
- Number of Implants: Single, multiple or full mouth treatments affect the total cost
- Complexity of Placement: Patients with jawbone deficiencies or prior dental work may require additional procedures such as bone grafting
- Material Quality: High quality titanium implants and abutments ensure durability, safety and a natural appearance
- Follow-Up Care: Post operative monitoring and adjustments are essential to ensure long term success
- Expertise & Clinic Reputation: Skilled specialists at a trusted clinic guarantee precision, safety and reliable results
Schedule Your Dental Implants Today!
Your comfort zone starts the moment you book a smile that actually feels like you! Lock in your Dental Implant in Islamabad Pakistan appointment at Glamorous Aesthetic Clinic Islamabad where our specialists guide you through every step with clarity, comfort, and zero stress so you walk out knowing you made the smartest choice for your long term oral health.
Dr. Fabiha Abid
Meet Dr. Fabiha Abid—a dedicated physiotherapist and skilled aesthetic practitioner at...
View Profile
Dr. Annas Sani
Introducing Dr. Annas Sani—an expert physician and skilled aesthetician at Glamorous...
View Profile
Dr. Nadia Tariq
Meet Dr. Nadia Tariq - our certified plastic and reconstructive surgeon at Glamorous Aesthetic...
View Profile
Dr. Ahmed Ali
We are excited to announce that Dr. Ahmed Ali is now a part of the Glamorous Aesthetic Clinic...
View Profile
Dr. Sabeela Imran
Dedicated and clinically proficient Dental Surgeon with comprehensive experience in restorative dentistry...
View Profile
