
Your Breakthrough Route to Healthier, Stronger Gums!
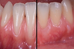
Gum recession affects more than just your smile—it can expose your teeth, increase sensitivity, and compromise your overall oral health. The good news is, it’s reversible with the right treatment! Gum Recession Treatment in Islamabad Pakistan at Glamorous Clinic provides a professional solution to restore your gum line. Our experts use precise, advanced techniques to rebuild healthy gum tissue, protect your tooth roots, and improve the overall appearance of your smile. You leave with gums that look natural, feel strong, and support a confident, radiant smile.
Quick Facts:
- Cost Range: From PKR 20,000 to PKR 80,000
- Treatment Type: Periodontal and cosmetic gum repair
- Anesthesia Type: Local anesthesia
- Procedural Duration: 45–120 minutes
- Results: Immediate improvement in gum coverage; full healing in 3–6 weeks
- Recovery Tips: Avoid hard foods, maintain oral hygiene
- Side Effects: Mild swelling, temporary tenderness
- Benefits: Protects teeth, reduces sensitivity, restores gum line, improves smile aesthetics
- Treatment Longevity: Long-lasting with proper care
- Back To Work: Same or next day
Gum Recession Treatment in Islamabad:
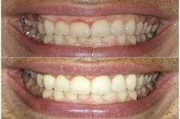
Gum Recession Treatment in Islamabad is a specialized dental procedure aimed at restoring receding gums, protecting exposed tooth roots, and improving smile aesthetics. This treatment reduces tooth sensitivity, prevents further gum and tooth damage, and restores a healthy, natural gum line. At Glamorous Aesthetic Clinic, our expert dentists use advanced techniques like gum grafting, the pinhole surgical method, and soft tissue regeneration to strengthen and realign your gums. Every procedure is customized to your gum condition, oral health, and goals, providing long-lasting and natural results.
How Does It Work?
The treatment starts with a complete assessment of your gums, teeth, and bite alignment. Your dentist uses X-rays or 3D scans to examine the extent of gum loss and bone support. Based on your condition, the dentist may perform gum grafting to cover exposed roots, a pinhole surgical technique for minimally invasive repositioning, or soft tissue regeneration with biocompatible materials. After treatment, your dentist ensures the gum line is stable, checks bite comfort, and confirms the gums look natural and protect the teeth effectively.
Aim of the Treatment:
- Protect exposed teeth and roots from damage and pain.
- Prevent further gum loss.
- Improve the appearance and symmetry of the gums.
- Support overall health and bite function.
- Deliver natural and long-lasting results.
Results of Gum Recession Treatment Islamabad:
Right after the treatment, your gums appear healthier and aligned. Mild swelling or tenderness is common and fades in a few days. Full recovery, including proper gum attachment and tooth protection, happens within 3–6 weeks, giving lasting results and preventing future sensitivity.


Progress Timeline & Downtime:
| Timeframe | What to expect? |
| Day 1 | Slight swelling or tenderness is normal. |
| Days 2–3 | Sensitivity decreases; normal eating begins. |
| Week 1 | Gum tissue starts to stabilize. |
| Weeks 2–3 | The gum line looks more natural; healing continues. |
| Weeks 4–6 | Healing is complete; gums fully protect your teeth and restore your smile. |
Ideal Candidates:
- Individuals noticing gum recession.
- Those with tooth sensitivity.
- People wanting to prevent further gum or tooth damage.
- Anyone desiring a long-lasting and natural gum line.
Not Suitable for:
⚠ Untreated gum infections
⚠ Severe bone loss requiring preliminary care
⚠ Individuals with poor oral hygiene habits or follow-up issues
Choose Glamorous for Best Gum Recession Islamabad:
At Glamorous Aesthetic Clinic, we provide expert gum care using the latest dental technology to make sure every Gum Recession Treatment in Islamabad Pakistan is safe and effective. Every treatment is fully personalized to match your unique gum condition, oral health needs, and smile goals, ensuring natural and long-lasting results. Our clinic provides a luxurious environment where your comfort is our top priority.
Your Signature Consultation:
Your gum restoration journey starts with a thorough examination of your gum line, teeth, and bite. The consultation at Glamorous isn’t just a regular check-up—it’s a fully personalized session focused on restoring your gum line, reducing sensitivity, and improving your smile.
During the consultation, your dentist evaluates the severity and location of gum recession using X-rays or 3D scans. A customized treatment plan is then created, whether it involves gum grafting, the pinhole surgical technique, or soft tissue regeneration. You also receive detailed guidance on oral care, recovery, and follow-up, ensuring your gums recover fully and remain strong for years.
Pre-Treatment Guidelines:
- Drink plenty of water.
- Brush and floss before the procedure.
- Avoid hard, sticky, or chewy foods.
- Share your complete medical history.
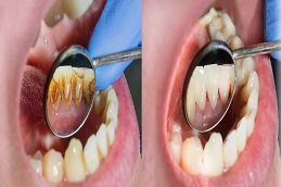
Step-By-Step Procedure:
- Step 1: Evaluation & Planning:
Your dentist examines your gums, teeth, and bite to plan a personalized treatment.
- Step 2: Gum Preparation:
The gum tissue is cleaned and prepared for grafting or repositioning to ensure a smooth and successful treatment.
- Step 3: Treatment Placement:
The dentist performs the selected method—gum graft, pinhole technique, or soft tissue regeneration—and shapes the gums to restore a natural, healthy look.
- Step 4: Adjustment & Polishing:
The dentist checks gum alignment, adjusts your bite if needed, and smooths the treated areas to ensure comfort and a natural look.
- Step 5: Post-Treatment Care:
Aftercare instructions are provided, any discomfort is monitored, and follow-up visits are planned to ensure your gums heal properly and stay healthy.
Aftercare for Optimal Healing:
- Stay consistent with gentle brushing and flossing.
- Avoid crunchy or hard foods until your gums settle.
- Stick to soft foods for a day or two.
- Skip hot or extremely spicy meals.
- Follow your dentist’s instructions throughout recovery.
- Attend your follow-up to monitor your results.
How Does It Benefit Your Oral Health?
- Protects exposed tooth roots from decay and sensitivity.
- Restores natural gum coverage and contour.
- Reduces discomfort from tooth sensitivity.
- Enhances the overall aesthetics of your smile.
- Strengthens gum tissue for long-term oral health.
- Delivers a smoother, healthier, and more confident smile.
Find Out More About The Gum Recession Islamabad:
Sessions:
Most individuals require 1–2 sessions, depending on the severity of gum recession. Each session lasts 45–120 minutes, during which our specialists repair, reshape, and restore gum tissue with precision. Initial improvement in gum coverage appears immediately, while full healing and optimal results settle within 3–6 weeks. Follow-ups track healing, swelling, and overall gum health.
Side Effects:
- Mild gum swelling
- Temporary tenderness or sensitivity
These effects fade quickly and are easily manageable.
Can I Eat Normally After the Treatment?
Yes! However, it’s best to avoid hard or crunchy foods for the first few days to protect the healing gums—soft foods and good oral hygiene support faster recovery.
How Long Does it Take to Heal?
Healing is usually visible within 3 to 6 weeks. Most patients return to work the same day or the next.
Can my Daily Habits Affect the Results?
Yes! Brushing and flossing properly, avoiding smoking, and eating healthy help your gums heal faster and stay strong. Bad habits can slow recovery or cause more gum problems.
Gum Recession Treatment Cost in Islamabad:
Looking for a cost-effective way to restore your gums and protect your smile? At Glamorous Aesthetic Clinic Islamabad, costs range from PKR 20,000 to PKR 80,000, depending on the severity, type of repair, and number of areas treated. Every treatment plan is personalized, combining cosmetic and periodontal expertise for natural, long-lasting results.
| Treatment Type | Average Cost (PKR) | Expected Results |
| Basic Gum Repair | PKR 20,000–35,000 | Repairs minor recession and restores gum coverage |
| Cosmetic Gum Reshaping | PKR 35,000–60,000 | Enhances gum line aesthetics while improving protection |
| Advanced Periodontal Therapy | PKR 60,000–80,000 | Treats severe gum recession with comprehensive restoration and long-lasting results |
Factors Affecting the Cost:
- Severity of Gum Recession: Deeper or multiple receded areas require more extensive treatment.
- Procedure Complexity: Periodontal repair, cosmetic reshaping, or a combination approach affects pricing.
- Dentist Expertise & Clinic Reputation: Experienced specialists at trusted clinics ensure precision and lasting results.
- Follow-Up & Maintenance: Post-treatment monitoring and care influence the overall investment.
Strong Gums, Confident Smile—Restore Yours Today!
Reserve your Gum Recession Treatment in Islamabad Pakistan at Glamorous Aesthetic Clinic today. Our dental experts carefully examine your gums, create a customized treatment plan, and restore your gum line for optimal health and appearance. Enjoy a smile with strong, healthy gums that look natural and confident.
Dr. Fabiha Abid
Meet Dr. Fabiha Abid—a dedicated physiotherapist and skilled aesthetic practitioner at...
View Profile
Dr. Annas Sani
Introducing Dr. Annas Sani—an expert physician and skilled aesthetician at Glamorous...
View Profile
Dr. Nadia Tariq
Meet Dr. Nadia Tariq - our certified plastic and reconstructive surgeon at Glamorous Aesthetic...
View Profile
Dr. Ahmed Ali
We are excited to announce that Dr. Ahmed Ali is now a part of the Glamorous Aesthetic Clinic...
View Profile
Dr. Sabeela Imran
Dedicated and clinically proficient Dental Surgeon with comprehensive experience in restorative dentistry...
View Profile